राम्रोसँग नपाकेको सुँगुरको मासु खाएको एक महिनापश्चात व्यक्तिको शरीरभरी जुका

एजेन्सी । चीनका ४६ वर्षका झु जोन्गफाको शरीरमा ७ सय बढी परजीवी फित्ते जुका (टेपवर्म) भेटिएका छन् । यी जुका ती व्यक्तिको दिमागदेखि मृगौलासम्म पुगिसकेका थिए । स्थानीय आम सञ्चार मध्यमका अनुसार मजदुरी गर्ने झुलाई अस्पताल पुर्याउँदा उनले मुखमा फिँज निकालिरहेका थिए र बेहास थिए ।
उपचारको क्रममा उक्त फित्ते जुकाको अण्डा पेटसम्म पुगिसकेको र रगतमार्फत् शरीरभरी फैलिसकेको पत्ता लागेको छ । डाक्टरका अनुसार उक्त फित्ते जुका सुँगुरको मासुमार्फत् उनको शरीरभित्र प्रवेश गरेको र यसले आफ्नो संख्या बढाइरहेको थियो ।
डाक्टरका अनुसार झु टिनिएसिसबाट पीडित थिए । यो भित्ते जुका टिनिया सोलियम संक्रमणबाट हुने रोग हो । भित्ते जुकाको लार्भा राम्रोसँग नपाकेको सुँगुरको मासुमार्फत् शरीरभित्र पुग्छ । यसका साथै यो दुषित खानामार्फत् पनि शरीरभित्र पुग्ने गर्छ ।
न्यूजडेस्कका अनुसार झुले एक महिनाअघि सुँगुरको मासु खाएका थिए, त्यो पूर्ण रुपमा पाके नपाकेको राम्रोसँग थाहा नभएको बताएका थिए । उक्त मासु खाएको एक हप्तापछि स्वास्थ्यमा समस्या देखिएपछि उनले डाक्टरलाई सम्पर्क गरेका थिए ।
संक्रमण भएको अवस्थामा अत्यधिक टाउको दुख्ने, अँध्यारो छाउने, अट्याक हुने, बिर्सनेलगायतका लक्षण देखिन्छन् ।
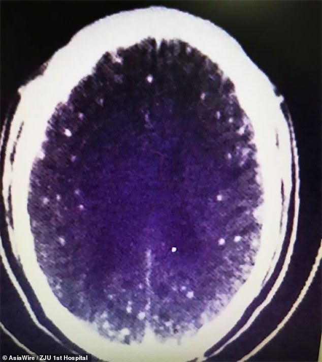
झियांग युनिभर्सिटी अफ मेडिसिनसँग सम्बन्धित अस्पतालका डा. जियानरन्गका अनुसार दिमाग र छातीको स्क्यान गरिएको छ । रिपोर्टमा भित्ते जुकाको पुष्टि भएको छ । मष्तिस्कबोहक फोक्सो र टाउकोको मांसपेशीमा पनि यी देखिएका छन् । डा. हुआंगका अनुसार एन्टी प्यारासाइटिक औषधी दिएर जुका र लार्भालाई मारिइसकिएको छ तर उपचार भने पूरा भएको छैन । यसको असर कतिसम्म हुन्छ त्यसबारे यकिन गर्न नसकिने डाक्टरले बताए ।




तपाईको प्रतिक्रिया